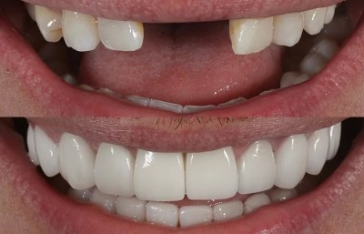
از دست دادن دندان ها به دلایل مختلفی ممکن است اتفاق بیفتد؛ از آسیب های فیزیکی و تصادفات گرفته تا بیماری های لثه و پوسیدگی دندان. در گذشته، تنها گزینه ها برای جایگزینی دندان های از دست رفته، دندان های مصنوعی و بریج ها بودند، اما با پیشرفت های علمی و پزشکی، ایمپلنت دندان به عنوان یک گزینه پیشرفته و دائمی معرفی شده است. در این مقاله، به بررسی مزایای ایمپلنت دندان نسبت به روش های مشابه خواهیم پرداخت و دلیل هایی که این روش را به یکی از بهترین انتخاب ها تبدیل کرده است، مطرح خواهیم کرد.
ایمپلنت دندان یک پایه تیتانیومی است که به صورت دائمی در استخوان فک قرار می گیرد. سپس یک تاج دندان مصنوعی بر روی این پایه نصب می شود. این روش، دندان های از دست رفته را به طور طبیعی و بدون اینکه مشکلی برای دندان های مجاور ایجاد کند، جایگزین می کند. ایمپلنت ها به دلیل ویژگی های منحصر به فرد خود، به سرعت در حال تبدیل شدن به انتخاب اول برای درمان دندان های از دست رفته هستند. توجه داشته باشید که برای خدمات ایمپلنت دندان حتما حتما به دندانپزشکی خوب و متخصص مراجعه نمایید تا نتیجه ای مطلوب کسب کنید
مزایای ایمپلنت دندان نسبت به سایر روش های مشابه شامل ویژگی هایی است که آن را به یک گزینه عالی برای افرادی که دندان های خود را از دست داده اند، تبدیل می کند. در ادامه به معرفی مزایای ایمپلنت دندان نسبت به دندان های مصنوعی و بریج ها می پردازیم.
1. استحکام و ماندگاری بلندمدت
ایمپلنت دندان در مقایسه با روش های دیگر مانند دندان های مصنوعی و بریج ها، دارای استحکام و ماندگاری بسیار بالاتری است. در روش های دیگر، ممکن است نیاز به تعویض دندان ها پس از مدتی باشد، در حالی که ایمپلنت دندان به دلیل جوش خوردن با استخوان فک، به عنوان یک گزینه دائمی در دهان باقی می ماند. این ویژگی باعث می شود که ایمپلنت های دندان نسبت به دندان های مصنوعی از نظر ماندگاری برتری داشته باشند.
بیشتر بخوانید: جهت انجام ایمپلنت یک روزه در تهران به این صفحه مراجعه کنید
2. حفظ ساختار استخوان فک
یکی از مشکلات بزرگ در روش های قدیمی تر مانند دندان مصنوعی، تحلیل استخوان فک است. زمانی که دندان از دست می رود و هیچ گونه جایگزینی برای آن در نظر گرفته نمی شود، استخوان فک تحت فشار قرار می گیرد و تحلیل می رود. اما ایمپلنت دندان به دلیل اینکه با استخوان فک جوش می خورد، از تحلیل استخوان جلوگیری می کند و به حفظ ساختار آن کمک می کند. این ویژگی ایمپلنت ها را از دندان های مصنوعی و بریج ها متمایز می کند.
3. بهبود عملکرد در جویدن و صحبت کردن
ایمپلنت های دندان عملکرد مشابه با دندان های طبیعی دارند. به این معنی که فرد می تواند مانند قبل از دندان های خود برای جویدن غذا استفاده کند و در صحبت کردن هیچ مشکلی نخواهد داشت. در حالی که دندان های مصنوعی و بریج ها ممکن است در هنگام جویدن یا صحبت کردن حرکت کنند و نیاز به تنظیمات مداوم داشته باشند، ایمپلنت ها به طور دائمی در دهان قرار می گیرند و هیچ گونه حرکت یا جابجایی ندارند.

4. زیبایی و طبیعی بودن ظاهر
ایمپلنت های دندان به گونه ای طراحی شده اند که شبیه به دندان های طبیعی باشند. این ویژگی باعث می شود که فرد با استفاده از ایمپلنت دندان احساس راحتی بیشتری داشته باشد و در جمع های اجتماعی با اعتماد به نفس بیشتری حضور یابد. در دندان های مصنوعی، به دلیل اینکه آن ها باید از دهان خارج شوند و تمیز شوند، ممکن است مشکلاتی از جمله ظاهر غیر طبیعی به وجود بیاید. اما ایمپلنت ها هیچ گونه تفاوتی با دندان های طبیعی ندارند.
5. مراقبت آسان و بدون دردسر
مراقبت از ایمپلنت دندان بسیار آسان است. برخلاف دندان های مصنوعی که باید به طور مداوم برداشته و تمیز شوند، ایمپلنت ها به طور دائمی در دهان قرار دارند و مانند دندان های طبیعی می توانند مسواک زده شوند. این ویژگی باعث می شود که نگهداری از ایمپلنت ها ساده تر از سایر روش ها باشد. علاوه بر این، ایمپلنت ها معمولاً به مراقبت خاصی نیاز ندارند و فقط باید به طور منظم به دندانپزشک مراجعه کرد.
6. مناسب برای دندان های مجاور
یکی از مشکلات بزرگ در استفاده از بریج ها، نیاز به تراشیدن دندان های مجاور است. در روش بریج، برای قرار دادن دندان مصنوعی، دندان های سالم مجاور باید تراشیده شوند که این کار باعث آسیب به دندان های طبیعی می شود. اما در ایمپلنت دندان، هیچ گونه نیازی به تراشیدن دندان های سالم نیست. ایمپلنت ها به طور مستقیم در استخوان فک قرار می گیرند و از این رو هیچ گونه آسیبی به دندان های مجاور وارد نمی شود.

ایمپلنت دندان نه تنها برای بازسازی زیبایی دندان ها مفید است، بلکه نقش مهمی در حفظ سلامت دهان و دندان ایفا می کند. انتخاب این روش به دلایل مختلفی می تواند بهترین گزینه باشد. از تحلیل استخوان فک جلوگیری می کند، عملکرد جویدن را بهبود می بخشد و از لحاظ زیبایی ظاهر طبیعی به دندان ها می بخشد. به همین دلیل، انتخاب ایمپلنت دندان به عنوان روشی دائمی و مؤثر، انتخاب بهتری نسبت به دندان های مصنوعی و بریج هاست.
نتیجه گیری
ایمپلنت دندان به عنوان یک روش پیشرفته و دائمی برای بازسازی دندان های از دست رفته، بسیاری از مشکلات مربوط به دندان های مصنوعی و بریج ها را برطرف کرده است. از ماندگاری بالا و حفظ ساختار استخوان فک گرفته تا زیبایی طبیعی و عملکرد مشابه دندان های طبیعی، ایمپلنت دندان گزینه ای عالی برای افرادی است که به دنبال یک راه حل دائمی و مؤثر هستند. بنابراین، اگر شما هم به دنبال یک راه حل پیشرفته و با ماندگاری طولانی مدت برای جایگزینی دندان های خود هستید، ایمپلنت دندان می تواند بهترین انتخاب برای شما باشد.
24 تیر 1404
25 تیر 1404
26 تیر 1404
29 تیر 1404
31 تیر 1404
02 مرداد 1404
17 مرداد 1404
27 خرداد 1404
13 تیر 1404
13 تیر 1404
18 مرداد 1404
27 مرداد 1404
09 فروردین 1404
09 فروردین 1404
11 فروردین 1404
09 آبان 1403
08 اردیبهشت 1404
27 خرداد 1404
مشاهده بیشتر
13 تیر 1404
13 تیر 1404
13 تیر 1404
13 تیر 1404
14 تیر 1404
14 تیر 1404
22 تیر 1404
23 تیر 1404
23 تیر 1404
23 تیر 1404
23 تیر 1404
24 تیر 1404
18 دی 1404
29 مرداد 1404
12 آبان 1404
21 آذر 1404
03 دی 1404
13 دی 1404
16 آذر 1404
09 شهریور 1404
23 مهر 1404
10 دی 1403
12 دی 1404
20 مرداد 1404
30 مرداد 1404
30 مرداد 1404
23 آذر 1404
28 تیر 1404
10 دی 1403
09 مهر 1404